🧠BrainDataLab, beyin MR görüntülerine dayalı analiz süreçlerinde kapsamlı destek sunar. Bunun için literatürdeki en güncel yöntemleri, en çok kabul gören metotları kullanır.
Segmentasyondan ve 3 boyutlu modellemeden radyomikse, makine öğrenmesi modellemelerinden istatistiksel raporlamaya kadar danışmanlık da dahil olmak üzere tüm analiz sürecini bilimsel doğrulukla ve size özel biçimde yönetiyoruz.

Hizmetlerimiz

Medikal İstatistik ve Makine Öğrenmesi ile Öngörü Modelleri ile hastalık tahmin modeller oluşturma ve raporlama

Literatürce kabul edilmiş en geçerli yöntemleri kullanarak, beyin atlasları ve derin öğrenme metotları ile beyin yapılarının 3D  modellenmesi

Nörogörüntüleme başta olmak üzere sağlık alanında yapılacak yüksek lisans, doktora tezlerine akademik danışmanlık

Beyin MR görüntülerinden veya elde edilen 3 boyutlu modellemelerden morfometrik ve volümetrik ölçümler

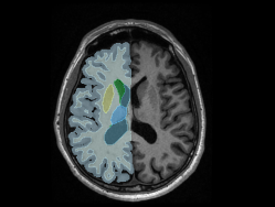
Beyin MR görüntülerinin segmentasyonu ve parselasyonu, analize hazır hale getirilmesi

Dijital görüntülerden (MR, BT, X-ray vb) 2D veya 3D olarak radyomiks özelliklerinin çıkartılması

Hipokampüs ve Amigdala 3D Modellenmesi

Makine Öğrenmesi ile oluşturulan klinik durum ve hastalık tahmin modelleri. 

 

100'den fazla Radyomiks Özellik Çıkarımı

🧠BrainDataLab olarak, her analiz sürecinde bilimsel doğruluk kadar müşteri memnuniyetini de ön planda tutuyoruz.
Taleplerinize özel çözümler sunarak, iş birliğimizin her aşamasında açık iletişim ve şeffaflıkla ilerliyoruz.

Her danışanımızın ihtiyaçlarını anlayarak, süreci yalnızca bir hizmet değil; karşılıklı güven ve memnuniyetle sürdürülebilir bir iş ortaklığı haline getiriyoruz.

Müşteri Memnuniyeti

Çözüm odaklı

Profesyonel Ekip

5000+ MR Analizi
100+ Danışan
50+ Tez Çalışması
%100 Memnuniyet